Жінка народила на апараті МРТ, щоб показати, що насправді відбувається з тілом
Відео, на якому жінка народжує дитину всередині апарата магнітно-резонансної томографії, знову стало вірусним у мережі. Запис був зроблений у межах наукового дослідження 2010 року.
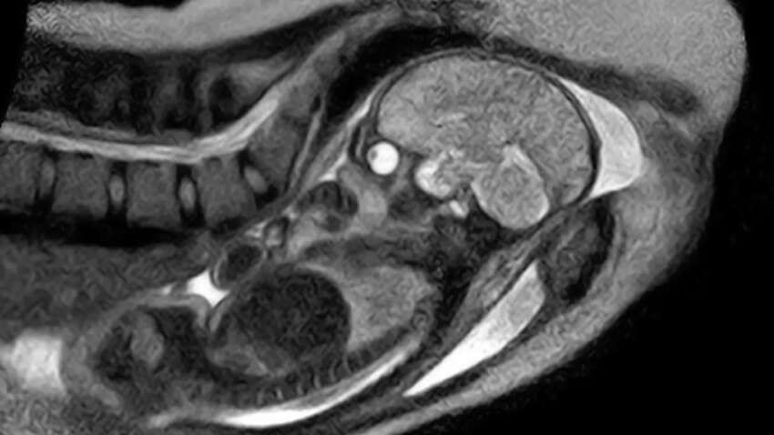
Уперше в історії жінка в Німеччині погодилася народжувати в апараті МРТ, аби науковці могли в реальному часі побачити, як саме проходить цей складний фізіологічний процес. Дослідження очолив доктор медицини Крістіан Бамберг з університетської клініки "Шаріте" в Берліні. Результати були опубліковані у статті "Спостереження за народженням людини за допомогою відкритої магнітно-резонансної томографії в режимі реального часу".
Останні 45 хвилин пологів зафіксували серією знімків МРТ, які згодом змонтували у 25-секундне прискорене відео. На ньому видно фінальні перейми, рухи внутрішніх органів матері та появу голівки дитини. Запис дозволив медикам вперше з високою точністю побачити положення плода і його шлях через родові шляхи.
"Знання про механізм пологів ґрунтуються на припущеннях та застарілих рентгенологічних дослідженнях, проведених десятиліття тому", — пояснили необхідність такого експерименту дослідники. За словами акушерки-гінекологині Марджорі Грінфілд, такі спостереження можуть допомогти лікарям краще зрозуміти природні пологи та зменшити потребу в кесаревому розтині.






