Пірсинг у легенях: жінка ледь не померла через незвичайний випадок
Жінка, яка тривалий час страждала на хронічний кашель, з’ясувала, що в її легенях застрягла пірсингова прикраса з носа.
Про це пише Creatorzine.
26-річна мешканка Мексики була шокована, коли дізналася справжню причину свого затяжного кашлю.
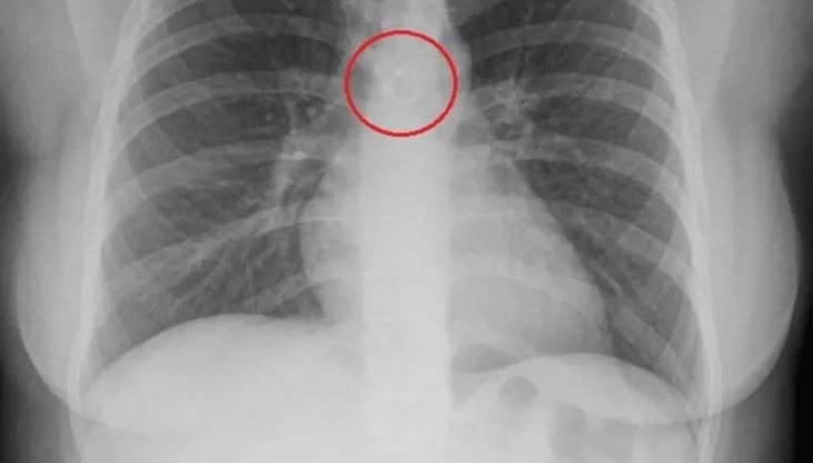
Моніка Деяніра Кабрера Барахас протягом приблизно місяця не могла позбутися кашлю, який не давав їй спокою. Зрештою вона вирішила звернутися до лікаря та пройти обстеження. Жінка очікувала, що рентген покаже якусь типову проблему, однак результат виявився зовсім несподіваним — на знімку вона побачила власний пірсинг.
Деяніра розповіла, що спочатку навіть не звернула уваги на зникнення прикраси з перегородки носа. А коли таки помітила, то й подумати не могла, що могла випадково її проковтнути або вдихнути.
«Єдина версія, яку я висунула і про яку розповіла пульмонологу, — це те, що я заснула, кулька випала, і все», — розповіла Деяніра. «Я лежала на спині, нічого не помітила, і ось так я накоїла лиха».
Пірсинг в легенях / © скриншот з відео
Згодом здивування змінилося серйозним занепокоєнням, коли лікарі повідомили, що металева прикраса знаходиться всього за 0,5 міліметра від аорти. Через це жінці призначили термінову операцію. Процедура, яка мала тривати близько 20 хвилин, виявилася значно складнішою і затягнулася майже на півтори години, але завершилася невдачею.
«Вона тривала годину і 20 хвилин, але мені так і не вдалося його витягнути, бо він прикріпився до мого тіла», — розповіла 26-річна пацієнтка.
У результаті їй довелося перенести ще одну, більш складну операцію.
На щастя, друга процедура минула успішно, і лікарям вдалося видалити сторонній предмет із легень. Медики наголосили, що жінці пощастило вижити — якби пірсинг пошкодив легеню або аорту, це могло призвести до колапсу легені або смертельної кровотечі.
«Я люблю пірсинг, і мені дуже подобався мій пірсинг перегородки носа, але в моєму випадку я б більше не зробила його через той жах, який пережила», — зізналася Деяніра.
Головне фото ілюстративне







